
سرطان پروستات و علائم نوع بدخیم چیست؟
سرطان پروستات یا کانسر پروستات، تومور بدخیم بافت غده پروستات است. اغلب سرطان های پروستات تدریجی و بدون علامت خاصی
دکتر کیوان آقا محمدپور » مقالات » صفحه 2

سرطان پروستات یا کانسر پروستات، تومور بدخیم بافت غده پروستات است. اغلب سرطان های پروستات تدریجی و بدون علامت خاصی

باید بدانیم که سنگ کلیه چیست، سنگ کلیه بیماری شایعی بوده و در حدود ۱۰-۲۰ درصد افراد جامعه ما مبتلا

زگیل تناسلی زگیل تناسلی و درمان جدید Hpv یا ویروس پاپیلوما انسانی زگیل تناسلی یک ویروس خیلی شایع است که

زگیل تناسلی یا وارت ژنیتال یکی از شایع ترین بیماریهای مقاربتی یا منتقله جنسی است که عامل آن پاپیلوما ویروس

پروستات غده ای است در بدن آقایان که در اطراف مجرای ادراری قرار دارد، در این مقاله قصد داریم تا

در افراد میانسال و سالمند غده پروستات ممکن است دچار بزرگی خوش خیم پروستات (BPH) , و یا سرطان پروستات

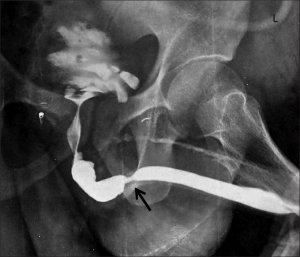
باریک شدن مجرای ادراری می تواند در کودکان، بزرگسالان ،مردان یا زنان اتفاق بیفتد. تنگی مجرای ادراری بیماری خطرناکی است

درد سنگ کلیه (رنال کولیک) از شدیدترین دردها می باشد و بسیار ناتوان کننده است. اولین قدم در این افراد

بیماری التهاب یا بزرگی پروستات بیشتر افراد جوان با سن ۲۵ تا ۴۵ سال دیده می شود در این مقاله

یک سری از بیماری ها باعث معافیت موقت سربازی به مدت ۶ ماه و یا معافیت از رزم می شوند

سوزش ادراری یا دیزوری به احساس درد در موقع ادرار کردن گفته می شود. سوزش ادرار به تنهایی بیماری نیست

سنگ شکنی درون اندامی یا TUL سنگ شکنی درون اندامی (TUL) روشی است که برای جراحی سنگهای داخل حالب یا