
آزواسپرمی یا اسپرم صفر و هر آنچه باید برای درمان بدانید
آزواسپرمی یکی از رایجترین دلایل ناباروری در آقایان است که در این اختلال مایع منی فاقد اسپرم است. اسپرم صفر
دکتر کیوان آقا محمدپور » مشکلات جنسی » صفحه 2

آزواسپرمی یکی از رایجترین دلایل ناباروری در آقایان است که در این اختلال مایع منی فاقد اسپرم است. اسپرم صفر

انزال خشک، وضعیتی است که در آن مرد در هنگام ارگاسم، مایع منی کمی تولید میکند یا اصلا تولید نمیکند.

ناتوانی در دخول کامل یا عدم لذت از رابطه جنسی، مشکلی است که بسیاری از زوجها با آن مواجه میشوند.

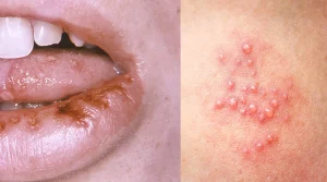
از اصلیترین راه های انتقال زگیل تناسلی میتوان به رابطه جنسی واژینال، مقعدی و دهانی اشاره کرد. ویروس HPV که

تقویت میل جنسی زنان و مردان یکی از مهمترین جنبههای سلامت جسمی و روانی است که میتواند تاثیر زیادی بر

علت بی میلی جنسی در مردان میتواند به دلایل مشکلات مختلف جسمی، روانی و حتی وضعیت روابط جنسی ایجاد شود.

درمان تبخال تناسلی به طور کامل ممکن نیست اما داروهای ضد ویروسی میتوانند علائم را کاهش داده و از عودهای

غلیظ و سفتشدن مایع منی از تغییراتی است که به طور طبیعی در مردان رخ میدهد؛ اما در برخی از

جراحی میکروسکوپی واریکوسل یکی از روش های درمان واریکوسل است که در آن جراح با استفاده از میکروسکوپ، رگهای آسیب

سوزش نوک مجرای ادرار در مردان به دلایل مختلفی از جمله عفونتهای ادراری، بیماریهای مقاربتی، تحریکات شیمیایی و یا مشکلات

خود ارضایی، یکی از مسائلی است که در افراد و سنین مختلف تأثیرگذاری مختلفی دارد.”روی” یکی از مواد مورد نیاز

رابطه زناشویی موفق عاملی بسیار اثر گذار بر تمام جنبه های زندگی مشترک و رابطه موفق بین همسران به شمار