باریک شدن مجرای ادراری می تواند در کودکان، بزرگسالان ،مردان یا زنان اتفاق بیفتد. تنگی مجرای ادراری بیماری خطرناکی است و به ویژه در کودکان صدمات شدیدی وارد می کند.
-
آسیب زایی تنگی مجرای ادراری :
مجرای ادراری پوشش مخاطی بسیار ظریفی است که در اثر ضربه مختصر یا التهاب می تواند آسیب دیده و ترمیم آن باعث ایجاد تنگی مجرای ادراری می شود .
-
علل تنگی مجرای ادراری مردان چیست ؟
- عفونتهای مکرر: در اثر بیماری مقاربتی مثل سوزاک و کلامیدیا که می تواند تنگیهای متعدد به وجود آورد.
- دستکاری مجرا: مثل سوند زدن نامناسب .
- ضربه : تصادفات رانندگی که شکستگی لگن بدهند و سقوط از بلندی یکی از دلایل مهم ایجاد تنگی است .انجام ورزشهای رزمی مثل کاراته باعث ضربه به مجرای ادراری و تنگی می شود .
- سابقه جراحی قبلی : مثل عمل جراحی پروستات .
- بیماری لیکن اسکلروزیس : که تنگی های طولانی می دهند .
- ختنه در کودکان از دلایل ایجاد تنگی نوک مجراست .
- تنگی مادرزادی : ممکن است از بدو تولد کودک دچار این بیماری شود .
بخوانید : سوزش ادرار را درمان کنید
-
تنگی مجرای ادراری چه علائمی دارد ؟
- باریک شدن و ضعیف شدن جریان ادراری
- مشکل ادرار کردن بصورت تاخیر در شروع ادرار
- احساس عدم تخلیه کامل ادرار
- سوزش موقع ادرار کردن
- بی اختیاری ادراری
- درد ناحیه لگن
- تورم آلت تناسلی
- احساس فوریت در ادرار کردن
- پرش و یا دو شاخه شدن جریان ادرار
-
عوارض این بیماری چیست ؟
- باقی ماندن ادرار در مثانه و تولید سنگ در مثانه
- پس زدن ادرار به کلیه ها و نارسایی کلیه ها
-
چه اقداماتی در افراد مشکوک به بیماری لازم است؟
- اخذ شرح حال خوب
- معاینه خوب
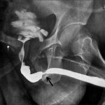
- انجام گراف رنگی از مجرای ادراری که می تواند شدت ،محل و طول تنگی در مجرا را نشان دهد .
- بهترین و قطعی ترین وسیله تشخیصی سیستوسکوپی (آندوسکوپی مجرا با لوله بسیار باریک ) است که به صورت سرپایی و بدون درد انجام می شود .
-
آیا تنگی مجرای ادراری باعث معافیت از سربازی می شود؟
در صورتی که با تشخیص پزشک نیاز به عمل جراحی داشته باشد و یا جهت تخلیه ادراری نیاز به سوند گذاری مداوم و یا مکرر داشته باشد ،معافیت دائمی دارد .
تنگی گردن مثانه بدون عارضه نیز باعث معافیت از رزم می شود .
-
درمان تنگی مجرای ادراری چیست؟
نوع درمان بستگی به محل ،شدت و طول آن دارد.
۱- بریدن محل تنگی با آندوسکوپی (انترنال یورترتومی):
در مورد طول تنگی کمتر از ۲ سانتی متر و یا اگر در محل مناسب باشد ،می توان با وسیله مخصوص و بدون شکاف و تحت بیهوشی عمومی یا بی حسی اسپینال محل تنگی را بریده که تا مثانه دیده می شود.مدت زمان عمل جراحی ۱۵ دقیقه تا نیم ساعت است .بیمار عصر همان روز مرخص شده و سه تا پنج روز باید سوند داشته باشد .
۲- جراحی باز : اگر طول تنگی زیاد باشد نیاز به عمل جراحی باز دارد. در این عمل قسمتی از مجرا به صورت کامل برداشته می شود و دو قسمت مجرا به هم دیگر پیوند زده می شود.
۳- عمل جراحی با استفاده از مخاط دهان : اگر طول تنگی زیاد باشد مثل بیمارانی که بیماری لیکن اسکلروزیس دارند ،از مخاط دهان استفاده می کنیم و بافت مجرا با آن در یک مرحله بازسازی و ترمیم شده در نتیجه بیماری بهبود می یابد .
بخوانید : درمان بی اختیاری ادرار بدون درد و جراحی
-
درمان تنگی نوک مجرای ادراری در کودکان :
تشخیص و درمان به موقع این بیماری بسیار مهم است چرا که عوارض مهمی بر کلیه های در حال رشد کودکان می گذارد . درنتیجه آن در صورت دیدن نشانه های گفته شده بهتر است کودک را به پزشک متخصص برده تا معاینه انجام شود.
این عمل تحت بی حسی موضعی و بدون درد و با انجام عمل سرپایی ترمیم می شود .
دکتر کیوان آقامحمدپور فوق تخصص جراحی کلیه ، مجاری ادراری و ناباروری
پیج دکتر کیوان آقامحمدپور در سایت آپارات


